www.hno-wasserturm.de
• Home •
• Nach oben •

Theresienkrankenhaus Mannheim
• Home •
• Scheidewand-OP •
• Nasennebenhöhlen •
• Nasenpolypen •
• Zu große Nasenmuscheln •
• Polypen Nebenhöhlen •
• Schnupfen •
• Pflege •


Ambulantes
OP-Zentrum Mannheim

Home

Allgemeines

Schwerpunkte

OP-Spektrum

ambulante OPs

Historie

TKH-Infos

Stadtplan

Impressum

Dr. Dieter Riemann +
Dr. Matthias Riemann

Focus Empfehlung HNO-Arzt Mannheim


 

Unsere Praxis und Ärzte
Schwerpunkte
OP-Spektrum
Stationär im TKH
Ambulante Operationen
Paukenröhrchen
Vorbereitung  vor OP
Nachsorge  nach  OP
Mandelprobleme
Rachenmandeln "Polypen"
HNO-OPs bei Kindern
Nasenatmungsbehinderung
Nasennebenhöhlen
Tauchen
Nasenpolypen
Sinuplastie
Nasenscheidewand- OP
Nasensprays
Nasenpflege
Schnarchen Schlafstörung
Lasereingriffe
Hörstörungen
Tinnitus
Adaptive Neuromodulation
Antiaging
Stimm- u. Sprachstörungen
HWS-Beschwerden
Ohrenschmalz
Medikamente
Kortison
Zecken
Suche in HNO-Riemann.de
Alphabetischer Index
Paramedizinisches
Patienteninfos (geschützt)
Downloads (geschützt)

Datenschutz


(E-Mail: wird nur unregelmäßig gelesen. Patientenbezogene Anfragen bitte nur telefonisch über die Praxis unter 0621-417541.
Eine offizielle Email-Adresse gibt es leider nicht mehr, da automatisierter Mißbrauch damit getrieben wurde, ggf. in extrem wichtigen Fällen siehe unter Impressum)

 

 

 

Laserconchotomie

Laserchirurgische Eingriffe

Eingriffe mit dem Laser sind keine Zauberei. In der modernen Chirurgie wird der Laser als Alternative zum Skalpell auch als "Strahl statt Stahl" bezeichnet. Er hat viele Einsatzgebiete die sinnvoll erscheinen, aber wird auch häufig nur deswegen angewendet, weil allein durch die Erwähnung des Begriffes "Laser" in der Medizin Patientenaugen zu leuchten beginnen (auch ohne das man ihn einschaltet) - sie wähnen hinter einer Operation mit Laser eine besonders moderne und schonende Operationstechnik - und das stimmt im Prinzip auch.

So halte ich persönlich sehr viel von der laserchirurgischen Verkleinerung der Nasenmuscheln, aber wende Laser z.B. bei Mandeloperationen nicht an, da bei einem Strahl die genaue Eindringtiefe niemals vorher genau zu bestimmen ist. Dieses Problem besteht bei der Laserung der sehr langen Nasenmuscheln (der Laserconchotomie) so gut wie nie.

 

Verkleinerung krankhaft vergrößerter (unterer) Nasenmuscheln mittels Laser - Therapie
 

Die Laserconchotomie

Ständige Nasenatmungsbehinderungen, die man nicht dauerhaft ursächlich oder medikamentös beheben kann oder Allergien, die diese Schwellkörper krankhaft vergrößern, behindern das Wohlbefinden des Mensche und machen ihn krank. Dies, auch wenn die Scheidewand gerade ist und die Nebenhöhlen (noch) in Ordnung sind.

Lage der Nasenmuscheln in der Nase

Wenn also alles nichts hilft, muß man diese Nasenmuscheln verkleinern um wieder gut durch die Nase atmen zu können. Das geschieht entweder stationär im Rahmen einer Septumplastik oder Nebenhöhlenoperation oder ambulant in einer kurzen Vollnarkose oder auch in Oberflächenanästhesie.

 

Unsere Laserfaser zur Anwendung in der Nase

Vereinfachtes Prinzip der Laseranwendung

 

Informationen über die ambulante Laser- Conchotomie

                                                                        

Für wen ist dieser Lasereingriff geeignet?

Wenn Sie unter einer chronisch behinderten Nasenatmung leiden, so können dem unangenehmen Gefühl der verstopften Nase ggf. folgende Erkrankungen bei Ihnen gehäuft auftreten:

Nebenhöhlenentzündung, Bronchitis, Schnarchen mit oder ohne Aussetzern, Kopfschmerzen, Probleme bei der Belüftung der Mittelohren, Rachen- und Kehlkopfentzündungen, morgendliches Trockenheitsgefühl im Mund- und Rachenbereich, evtl. mit Mundgeruch oder Karies bedingt durch verstärkte Mundatmung u. v. a. - kurz, wessen Nase chronisch verstopft ist der wird häufiger krank, immer und immer wieder.

Wenn als Hauptursache für die Nasenatmungsbehinderung eine Vergrößerung der unteren Nasenmuscheln festgestellt worden ist, so wurde im Vorfeld eine Allergie, Nebenhöhlenentzündung, Nasenpolypen oder Ähnliches als mögliche Ursache ausgeschlossen.

Was ist eine Nasenmuschel?

Die unteren Nasenmuscheln befinden bds. in der Nase vom Eingang bis zum Ende der Nase, den sog. Choanen und sind an den seitlichen Nasenwänden knöchern angewachsen. Sie vergrößern die Oberfläche der Nase um die Atemluft besser anwärmen, befeuchten oder reinigen zu können - sie sind also wichtig und man darf Sie nicht entfernen. Je nach Bedarf schwellen Sie an (noch größere Oberfläche) oder ab (kleinere Oberfläche). Das ist normal und wechselt physiologischerweise auch zwischen rechts und links ab. Dieses Abschwellen kann man z.B. auch mit den (auf Dauer benutzt schädlichen) abschwellenden Nasentropfen oder - sprays erreichen, die man rezeptfrei in der Apotheke kaufen kann. Dies sollte man aber nur bei akutem Schnupfen o. Ä. tun, auf Dauer wird die Nasenatmung dadurch schlechter und die empfindliche Nasenschleimhaut wird dadurch zerstört.

Warum werden diese wichtigen Nasenmuscheln zu groß?

Ist dieses Anschwellen allerdings, z.B. durch Klimaeinflüsse, Allergien, Staub- oder Toxinexposition extrem verstärkt und die Nasenmuscheln sind über Ihr Maß hinausgewachsen, dann hilft in manchen Fällen nur noch die chirurgische Verkleinerung - entweder durch "Stahl oder Strahl" - die Mediziner meinen damit eine Verkleinerung mittels chirurgischer Instrumente oder Laser. Es gibt auch noch andere Methoden, die ich nahezu alle schon persönlich angewendet habe. z.B. Radiofrequenz, Argon-Plasma-Koagulation, Cobalation usw. Wir haben uns in unserer Praxis für einen Diodenlaser entschieden - doch dazu später mehr.

Wo genau sind diese Nasenmuscheln?

Da man sich als Laie schlecht vorstellen kann wo genau diese Nasenmuscheln in der Nase sitzen hier zusätzlich zu dem oberen Bild ein frontaler Querschnitt durch das Mittelgesicht:

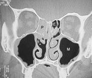
Abb. 1   Abb. 2  

Abb. 1: Hier relativ normale Verhältnisse. Die Nasenmuscheln lassen noch genügend Luft (schwarz) durch die Nasenhöhle strömen obwohl die Scheidewand leicht verkrümmt ist. Die Kennung IT zeigt wo sich die entsprechende zu verkleinernde Nasenmuschel befindet

Abb. 2: Auf der rechten Seite des Bildes sehen sie verdickte untere Nasenmuschel und seitlich daneben die Kieferhöhle (M). Die Nasenatmung ist hier einseitig stark eingeschränkt. Die dünnen schwarzen Linien stellen die noch verfügbare Nasenatmung links dar!

Erklärung: Schwarz: Luft, Graustufen: Weichteile, Weiß: Knochen, IT: untere Nasenmuschel, M: Kieferhöhle, S: Nasenscheidewand

Wie genau geht das?

Mittels Laserstrahl (980 nm - Infrarotbereich) eines Diodenlaser können diese Nasenmuscheln elegant und meist fast völlig schmerzfrei verkleinert werden. Da der Infrarot- Laser besonders gut von "rotem Gewebe" also auch von Blut absorbiert wird, ist er besonders geeignet nicht nur das überschüssige Gewebe zu verkleinern sondern auch die immer auftretenden Blutungen gleichzeitig zu stillen. Der Vorteil ist ein für die Nase schonendes und nahezu unblutiges Verfahren. Daher kann (eigentlich immer) auf eine unbequeme Austamponierung der Nasen verzichtet werden.

Vor dem Eingriff sollten Sie keine blutverdünnenden Medikamente einnehmen, z.B. sollte eine ASS- (Aspirin) Dauereinnahme 1 Woche vor dem Eingriff abgesetzt werden und bei gelegentlicher Einnahme 3 Tage zuvor kein Aspririn mehr eingenommen werden. Mittlerweile gibt es noch zahlreiche andere Blutverdünner, bitte konsultieren Sie im Zweifelsfalle Ihren Hausarzt, ob Sie dieses Medikamente überhaupt absetzten dürfen, und wenn nein, durch was man es ersetzen kann. Oft geht das mit Heparin oder ähnlichen Medikamenten, die man sich täglich für einige Tage mit kleinen Fertigspritzen in die Bauchdecke spritzt oder spritzen läßt.

Auch sollten Sie am Eingriffstag möglichst kein abschwellendes Nasenspray anwenden, damit die Größe der Nasenmuschel bei der Vorbereitung vor dem Eingriff in der originalen Größe nochmals zu sehen ist um abzuschätzen, um wie viel genau diese verkleinert werden sollte - denn zu klein darf man diese Organe auch nicht lasern, sonst kann es es zu Komplikationen kommen.

Tut das weh?

In die Nase wird ein Gazestreifen eingelegt, getränkt mit einem speziellen Gel. Dieses wirkt stark betäubenden und abschwellendem - es handelt sich dabei um Xylocain. Wenn Sie schon einmal bei einer Betäubung bei Ihrem Zahnarzt eine Allergie bekamen, fragen Sie dort nach und stellen Sie sicher, daß es sich nicht ebenfalls um Xylocain handelte. Diese Allergie ist recht selten, kommt aber vor. Zuvor wird ein die-Nase-freimachendes-Medikament in dieselbe eingesprüht. Insgesamt müssen 2 x ca. ½ Stunde lang die applizierten Medikamente einwirken, bevor der Eingriff beginnt. Es sind dann in der Regel keine relevanten Schmerzen mehr zu erwarten, zeitweise ist ein leichtes Ziehen oder Brennen zu verspüren. Selten treten bei manchen Patienten leichtere Blutungen auf, die wir bis jetzt aber stets problemlos stillen konnten.

Mögliche Komplikationen?

Mögliche, aber sehr seltene Komplikationen sind: Verbrennungen, bleibende Krustenbildung in der Nase und Verletzung des Tränen-Nasenkanals - habe ich persönliche alle noch nicht erlebt. Um Augenschäden zu vermeiden erhalten Sie einen ähnlichen Aufsatz auf die Augen wie im Solarium. Alle im Raum Anwesenden müssen Laser-Schutzbrillen tragen.

Und nach dem Eingriff?

Lassen Sie sich nach dem Eingriff abholen, evtl. sollten Sie am nächsten Tag nicht (körperlich schwer) arbeiten, wir stellen Ihnen diesbezüglich gerne eine entsprechende Krankmeldung aus. In der Regel bekommen Sie bei Planung des Eingriffes eine Spezialnasensalbe verordnet, die Sie zum Eingriff mitbringen sollen und auch mindestens 1-2 Wochen nach der Laserung 1-3x täglich anwenden sollten. Nach dem Eingriff erhalten Sie ebenfalls ein Rezept für einen Spezialnasenspray.

Die ersten Tage kann die Nase noch verstopfter sein als sonst (meisten freier), was sich meist nach 5-7 Tagen legt. Am 10.-12. Tag nach dem kleinen Eingriff sollten Sie erneut eine Kontrolle entweder bei uns oder bei einem (am besten operativ erfahrenen) HNO-Arzt vor Ort durchführen lassen, es werden dann noch die restlichen Beläge, die noch stören entfernt und ab dann wird die Nase in aller Regel wesentlich freier sein als zuvor.

Wenn die Nasenscheidewand zusätzlich verbogen ist?

Falls eine zusätzliche Verbiegung der Nasenscheidewand vorliegen sollte, so kann es sein, dass ein Nasenloch weiterhin weniger Luft bekommt als die Gegenseite, trotzdem wird von unseren gelaserten Patienten generell ein deutliche Besserung angegeben. Bei relevanter Verbiegung empfehlen wir in Kombination die Scheidewandkorrektur, bedeutet die reine Laserung doch sonst nur "eine halbe Sache", aber für Patienten, die einen größeren Eingriff scheuen, wie z.B. eine Begradigung der Scheidewand, ist dieser Eingriff oft ein lohnender Kompromiss und resultiert in den meisten Fällen mit einer wesentlich freieren Nase - trotz Scheidewandverbiegung, deren Spitzen man manchmal mit dem Laser etwas "entschärfen" kann, wenn auch nicht komplett korrigieren.

Die Erfolge?

Wir führen diesen eingriff seit 2007 regelmäßig durch und haben in den letzten 12 Jahren (Stand 05/2019) weit über 1000 Eingriffe durchgeführt. Die Patienten berichten zu 97% über eine seitdem freie Nase, und nahezu 100% über ein deutliche Besserung der Nasenatmung. Lediglich einmal mussten wir örtliche Betäubungsspritzen anwenden und 2x eine lockere Tamponade einlegen. Auch mussten wir bis jetzt erst ca. 20 Mal (das ist weniger als 2%) eine Laserbehandlung wegen weiter bestehender Nasenatmungsbehinderung wiederholen oder nach Monaten oder Jahren operativ im Krankenhaus durchführen (möglich bei sehr ausgeprägtem und hartem Knochen der Nasenmuscheln) und in einigen Fällen nachträglich noch eine Scheidewandbegradigung durchführen.

Weiter Informationen?

Genauere Informationen erhalten Sie über unsere Praxis. Bitte melden Sie sich an. Sie können nicht einfach so zur Laserung kommen, ich kann nur immer eine Laserconchotomie abends nach der Sprechstunde durchführen und sie müssen zum Eingriff das Spezialgel und die -salbe mitbringen, die Ihnen zuvor rezeptiert werden.

Für weitere Informationen können Sie auch hier  unsere Patienteninformation downloaden,es ist gleichzeitig die OP-Einwilligung, die Sie auch ausdrucken und mitbringen können.

 

Scheidewand-OP Nasennebenhöhlen Nasenpolypen Zu große Nasenmuscheln Polypen Nebenhöhlen Schnupfen Pflege


Diese Homepage ist kein Ersatz für eine fundierte ärztliche Untersuchung, Beratung und Behandlung in einer HNO Praxis!
Sie stellt lediglich allgemeine Informationen für Interessierte, nicht für Erkrankte, zur Verfügung, die möglicherweise auch veraltet sein können. Wir lehnen jegliche Verantwortung oder Garantie über die Richtigkeit der o. a. Informationen ab
Für den Inhalt der angezeigten Links sind alleine die entsprechenden Seitenbetreiber verantwortlich.
Stichworte: HNO Mannheim Hals-Nasen-Ohren Operationen ambulant Rachenmandeln Praxis Praxisklinik stationär TKH Theresienkrankenhaus Mandeloperation Septumplastik Nasennebenhöhlen Kieferhöhlen Nasenatmung Lasertherapie Laser Nasenmuscheln Schnarchen Schnarchoperationen Allergie Tinnitus Focus-Empfehlung HNO-Arzt Mannheim
Bei Fragen zur berufsrechtlichen Regelung von in Deutschland ausgebildeten Ärzten können Sie weitere Informationen beziehen bei: Bezirksärztekammer Nordbaden, Keßlerstraße 1, 76185 Karlsruhe, Telefon: 0721-5961-0, Telefax: 0721-5961-140.